TOP > 形成外科
形成外科Plastic surgery
形成外科手術・処置
■外傷(けが)
切り傷の縫合、傷のケア。やけどの植皮・皮弁術(小範囲のもの)
■傷跡・ケロイド
ひきつれ・きずあとの修正
■できもの
顔を含む皮膚、皮下腫瘍の治療
■その他
スーパーライザーなど。
保険診療を原則として行っております。(まぶたは自費診療あり。)
■瞼の治療あれこれ

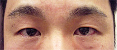
眼瞼下垂

眼瞼下垂術前 矢印 眼瞼下垂術後3ヶ月
術前   術後3ヶ月
眼瞼下垂術前 矢印 眼瞼下垂術後2週間
術前   術後2週間

色素性母斑(ほくろ)

色素性母斑(ほくろ)術前 矢印 色素性母斑(ほくろ)術後2ヶ月
術前   術後2ヶ月
色素性母斑(ほくろ)術前 矢印 色素性母斑(ほくろ)術後2週間
術前   術後2週間
色素性母斑(ほくろ)術前 矢印 色素性母斑(ほくろ)術後2ヶ月
術前   術後2ヶ月

眼瞼内反症(さかさまつげ)

眼瞼内反症(さかさまつげ)術前 矢印 眼瞼内反症(さかさまつげ)術後1ヶ月
術前   術後1ヶ月
眼瞼内反症(さかさまつげ)術前 矢印 眼瞼内反症(さかさまつげ)術後3ヶ月
術前   術後3ヶ月

下眼瞼外反症(あっかんべー状態)

下眼瞼外反症(あっかんべー状態)術前 矢印 下眼瞼外反症(あっかんべー状態)術後1週間
術前   術後1週間

霰粒腫(ものもらい)

霰粒腫(ものもらい)術前 矢印 霰粒腫(ものもらい)術後術後1ヶ月
術前   術後1ヶ月
霰粒腫(ものもらい)術前 矢印 霰粒腫(ものもらい)術後術後1ヶ月
術前   術後1ヶ月
霰粒腫(ものもらい)術前 矢印 霰粒腫(ものもらい)術後1週間
術前   術後1週間